牙齿修复有门道,你最适合哪一种?

微笑e站

发布于:2022-04-24

摘要:牙齿修复的不同方案你都了解嘛?

牙齿脱落由多种原因导致

可能是因为平时的饮食习惯或者意外

如果已经面对缺牙的问题的时候

千万不要忽视

因为将会有这些危害接踵而至!


缺牙不补的多种危害


说话漏风,口齿不清
高血压随之而来
这也吃不了,那也吃不了
牙齿松动,影响咀嚼
引发老年痴呆
被人谈论影响心情
影响颜值
吃什么都容易塞牙
引起更多牙齿脱落


为了免受更多缺牙危害

及时修复,为时不晚

目前的缺牙修复方案主要有三种

各具不同优劣


1

活动义齿修复

患者可以自由摘戴的义齿,大家平时俗见的“假牙”,就是活动义齿修复





优势:

不损伤天然牙

自行摘戴便于清洁

价格低廉


劣势:

初期佩戴时异物感明显,可能会影响发音,引起恶心

由于便于摘戴,固定性不佳,咀嚼效率会受到部分影响

设计不合理的义齿将会造成天然牙损伤,引起粘膜溃疡等危害


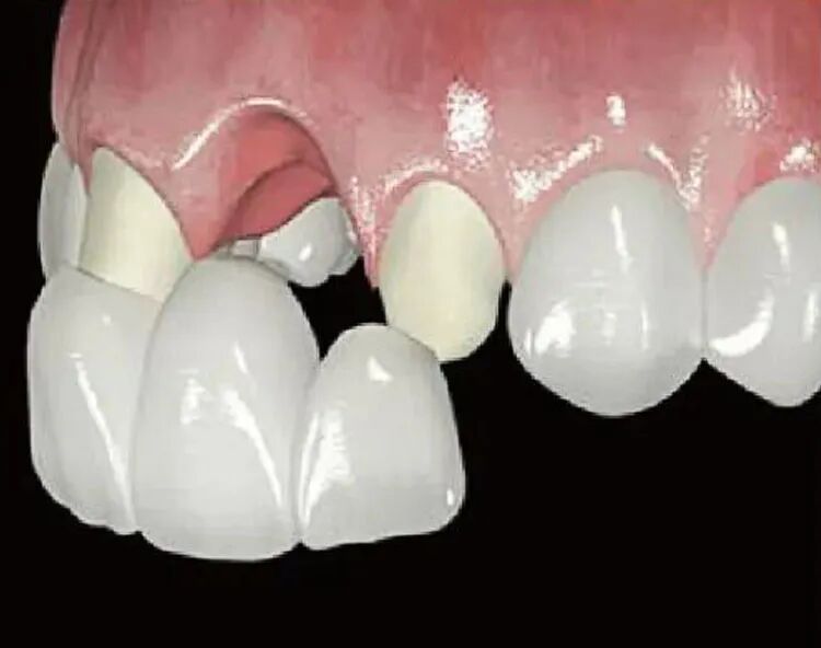
2

固定义齿修复

这就是我们常听说的“烤瓷牙”,利用“烤瓷外壳”搭桥弥补缺失的牙体,将两边的牙齿磨小作为“桥墩”,以此恢复牙齿形态、功能和美观的修复方式。



优势:

咀嚼效率高

舒适美观


劣势:

因为佩戴“烤瓷”牙冠的缘故,需要磨除部分两边相邻健康牙齿,对牙齿的完整性有一定破坏

其次如果固定义齿就如同搭桥,如果缺牙数量多,“桥”就会很长,将多颗牙齿链接


3

种植牙

种植牙主要由牙冠、基台、种植体三部分组成牙冠即假牙,通常为烤瓷或全瓷材料,与真牙外观、硬度相似,用于固位于种植体上部。



牙冠:牙冠即假牙,相当于树枝和树叶,通常为烤瓷或全瓷材料,与真牙相似,位于种植体上部。

基台:相当于树干,用来连结种植体与牙冠。

种植体:相当于树木的根基,植入骨组织内,作为基础来支持牙冠。


(种植牙示意图)


优势:

不会伤害相邻的健康牙齿,将缺牙损失降到最低

饮食自如无异物感,就像真的牙齿一样

它能有效防止牙齿缺失后牙槽骨萎缩,防止面部结构改变

清洁方便,美观逼真,节约了频繁清洁的时间,但仍需定期维护


温馨提示


缺牙时间如果过长,会导致牙槽骨吸收严重,如果想要进行种植修复,会增加植骨或上颌窦提升术的可能性,让种牙的过程变得更加复杂,种牙周期也随之拉长,种牙的花费也会随之上涨,得不偿失。




看了以上介绍

你一定对缺牙后修复方法有了大致了解吧

如果你正在面临缺牙修复方案的选择

哪一种方案会作为你的第一选择呢?





万物生长的春季,让缺牙的自己也“萌发”新牙吧~

【士卓曼360】非凡体验,安心只为您
重磅 | 士卓曼360患者保障卡正式上线
【“士”放360°笑容】微笑是一首歌,分享是一种快乐
【士卓曼360体验馆】上集:诸葛带你了解口腔数字化定制
 【士卓曼360体验馆】下集:奇妙的360盒子



士卓曼微笑e站

关乎笑容 更关乎你


本文内容来源于公众号: 微笑e站 ,请扫码查看原文。

点此可查看原文