11月15日,中华医学会第31次放射学学术大会(CCR2024)在上海举行。佳能医疗以“智慧影像 协同共创”为主题再度亮相,带来全球智慧融合本土创新的众多科技成果,覆盖CT、磁共振、血管造影和X线多个放射学领域,为构建医疗新质生产力注入新动能。
随着科技的不断进步,放射学也在迅速发展,新技术、新方法层出不穷。本次会议不仅吸引了国内外众多医疗企业参展,带来大批先进的放射学相关产品,还邀请到行业知名专家们齐聚现场,大家以放射学新成果、新洞察为沟通桥梁,展开了一系列多样化、高水准的学术交流活动,为放射学发展带来了新视野和新方向。而佳能医疗带来的一系列智慧新品,也吸引了中国放射学专家们的热烈关注。
15日上午,佳能医疗“智慧影像 协同创造”新品发布仪式重磅举行,4款全球新品以及Ultimax-i国产新品集中亮相。
中华医学会放射学分会领导参观佳能医疗展台
智慧新品集中亮相
攻克重大疾病挑战
左右滑动查看更多
发展新质生产力是推动医疗高质量发展的重要着力点,其核心要义是创新。目前,在医疗领域,AI、大数据、云计算等数智化技术代表着医疗新质生产力的前沿方向,通过“软硬件”结合、数实结合,不断提升医疗装备的易用性、可拓展性以及可靠性,赋能医疗一线提质增效。在CCR2024上,佳能医疗展示了新一代高清AI引擎PIQE(Precise IQ Engine)结合佳能医疗最新影像装备,为医学影像带来的重要突破。
PIQE加持下的更高分辨率血管成像
对极致分辨率的追求
不再是看见和看清
而是看得更精微、看得更全面
赋予临床精准诊断以信心和效率
以及安心舒适的医患体验
1111
PIQE for CT
突破传统心脏成像限制
对分辨率的追求驱动着CT技术的进一步发展。一方面是聚焦硬件的探测器革新,例如0.25mm的超薄探测器切割、光子计数探测器等;另一方面,则是通过图像重建算法的辅助来实现,例如从传统的FBP到迭代算法、再到如今的深度学习重建算法。而佳能医疗将AI图像技术与宽体探测器深度融合,将CT图像分辨率提升至了新高度。
基于佳能医疗的深度学习神经网络平台,结合Aquilion Precision 4K级高清数据采集平台进行训练,得到高清AI引擎PIQE。结合宽体CT平台,PIQE可以同时提升图像分辨率和覆盖宽度,实现任意心率及心律不齐下的高清心脏成像,尤其有利于对心血管支架和斑块的显示。
左右滑动查看更多
1111
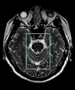
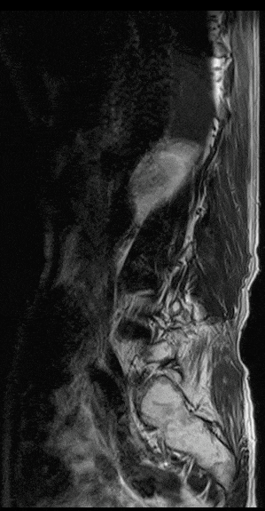
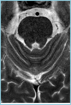
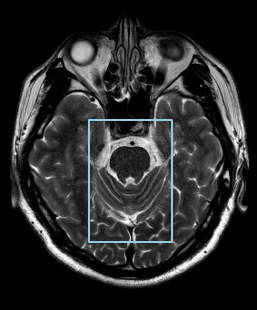
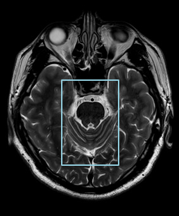
PIQE for MR
极速高分辨率成像
在磁共振领域,深度学习技术对图像进行降噪、上采样、减轻振铃伪影的处理,带来了清晰且细节丰富的图像。
过去,高分辨率图像的获取往往伴随着漫长的扫描时间,这影响了图像获取的效率,对于危重疾病的快速诊断是一大挑战。然而,PIQE技术的出现彻底颠覆了这一局面。此次发布的全新3T磁共振Galan Supreme,搭载全新的自研磁体和梯度线圈,并深度融合PIQE技术,可以实现在不增加扫描时间的前提下,轻松获取到高分辨率的图像,为临床带来了兼具高效与高质量的影像体验。
左右滑动查看更多
在医学影像领域,人工智能已经为我们的未来探索打开了新的想象空间,由AI赋能的精准诊断和个性化诊疗,正在颠覆传统诊疗模式。
基于百余年创新培育起来的影像技术积淀,佳能医疗在人工智能领域早已成果显著,早在2018年,我们就推出了用于提升CT图像质量并同时降低辐射剂量的高信噪AI引擎DLR-AiCE(Advanced intelligent Clear-IQ Engine),将CT图像质量提升至新的“视界”,如今,我们的AI影像技术已经创新迭代至PIQE,并实现跨产品应用于多个产品线,持续在全球的临床和科研探索中投入使用,不仅助力医疗一线危急重症的攻关,也将先进医疗资源带给了更多人群。
中国的放射医学正在蓬勃发展
作为其中的一份子
佳能医疗将继续
与业界同道一起
分享创新成果、交流实践经验
共建新质生产力
共同推动放射医学的
规范化、精准化、智能化发展
为医疗高质量发展贡献力量
























