上周日晚9点
树兰(杭州)医院急诊科
接诊了一位非常不幸的患者
原本只想牵头牛
没想到牛竟然把手给拉断了!
闯进小院的“不速之客”酿大祸
张奶奶(化名)今年73岁,居住在诸暨某村,12号是个大太阳天,她和行动不便的老伴一起在院子里太阳。
大概下午三点左右,院子里慢悠悠的闯进了一头大黄牛,张奶奶怕黄牛冲撞到老伴,便起身把牛往外赶,但是没成功,她又牵着牛绳子往外拉,无奈牛还是岿然不动。
为了增大拉牛的力气,她把牵牛的绳子缠在了自己的右手上,牛的蛮力太大,双方剧烈的拉拽过程中,张奶奶的右手被勒紧的麻绳从手掌拇指底部位置完全扯断,手掌连着被抽出的肌腱掉落地上,听到惨叫声,家属从屋子里跑出来顿时被吓得目瞪口呆。慌忙中,将张奶奶送到当地医院,因伤情过于严重转院至树兰(杭州)医院。
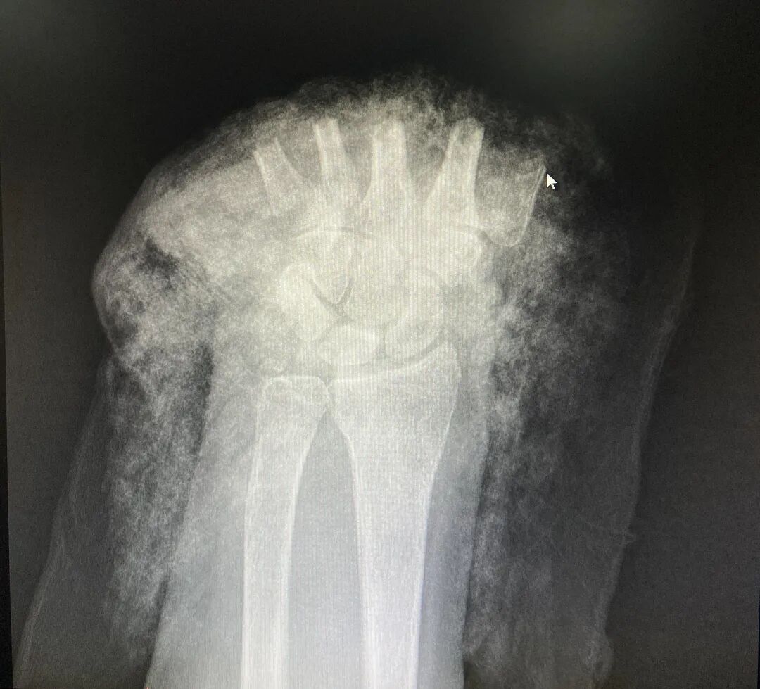
断掌正面CT图 断掌侧面CT图
5小时手术断掌残垣 “截”后余生
“因牵牛而导致断手的病例还是头一次看到。”树兰(杭州)医院手足显微外科黎斌副主任医师接诊后表示:“伤者由于手掌被麻绳勒紧,受到前后牵拉力同时作用而造成手掌骨头、肌腱及神经组织断裂,属于非常严重的旋转撕脱离断伤。”
黎斌副主任介绍介绍,手足显微外科经常会接诊被机器或者刀具砍伤的手部受损,断面比较整齐,但张奶奶这种撕扯伤有很多缺损组织,因拉扯被抽出的肌腱长度达20多厘米,比砍断更严重,大大增加了再植手术的难度,因此当时伤者送到医院时已经面临截肢的危险。
伤情刻不容缓,张奶奶到院时已经面色苍白,进行了生命体征评估、伤情判断、完善术前相关检查后,深夜11点,张阿姨进入了手术室。
黎斌副主任医师绷紧神经展开了抢救工作,凌晨四点,再植手术顺利完成。目前,张奶奶尚在住院观察中。
术后照片
家长朋友们要注意了!
家长朋友们要注意了!
家长朋友们要注意了!
黎斌主任提醒,手足显微外科门诊中也会遇到小朋友在玩耍时将绳子缠到手指被拉扯导致手指离断或皮肤全部脱离的情况,家长们要尽力避免类似意外发生。
尤其是天气晴好,放风筝的人也多了起来,小朋友在玩耍时要格外注意绷直状态下的风筝线。
绷直状态下的风筝线,对物体的切割能力类似于匕首,户外放风筝时,一定要远离玩耍的小朋友,并且注意保护手部,避免受伤。
























