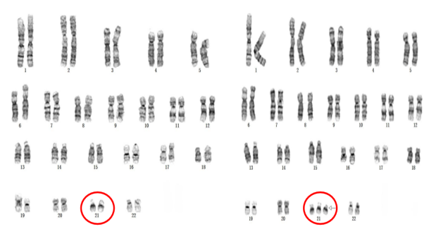
3月21日,一个有着特殊寓意的日子,因为这样一群人,他们体内有3条21号染色体,而我们正常人体内有23对染色体,都是成双成对的。这群人被称为唐氏综合征患者,就是我们俗称的唐氏儿。
2011年联合国大会将3月21日命名为“世界唐氏综合征日”,旨在呼吁全社会提高对唐氏综合征的认知和关注。
唐氏综合征是最常见的导致轻度至中度智力障碍的染色体疾病,无法治愈。一提到染色体、遗传等,可能很多准爸爸准妈妈们会认为我们两口子身体好着呢,家里亲戚里面也从没见过有什么不正常的,这什么唐氏儿离我们远着。错啦!特别提醒大家,世界上任何一对普通夫妇都可能生出唐氏综合征患儿,这与种族、血型、学历、地位都毫无关系,据估计,我国大约有60万名唐氏综合征患者,按目前的出生率计算,平均每20分钟就有一名唐氏儿出生。
那这也太可怕了,怎么办呢?别急,只要我们科学防控,是可以降低唐氏儿出生风险的。
首先,我们提倡科学备孕。
1.尽量适龄结婚生育,避免高龄妊娠,就是我们常说的合适的年龄做合适的事。研究表明,年龄越大,唐氏儿出生的几率越大。
2.孕前及孕期避免病毒感染,避免接触化学物质,避免接触放射性物质,环境一定要舒适,新装修的房子最好就不要住啦。
3.注重饮食,保证营养供给,孕前及孕早期合理补充叶酸。
4.坚持锻炼身体,提高机体免疫力。
当然,敲黑板啦,最重要的是怀孕了,孕妈妈一定要做好产前检查!针对唐氏综合征,我们有四大法宝。
1. NT超声检查
孕早期(11周-13+6周)对胎儿颈部透明膜厚度(NT)、静脉导管血流(DV)、鼻骨等超声筛查,NT增厚越明显,胎儿异常机会就越高。
2. 传统的唐氏筛查
孕早期(11周-13+6周)和孕中期(15周-20+6周)通过抽取孕妇外周血,检查母体血清内一系列的生化标志物并结合孕妇的孕周、体重、年龄等各项信息,经过专业的筛查软件,计算出胎儿染色体异常的风险几率。
特别提醒:湖南省从2017年起就已经把中期产前筛查纳入民生工程,对所有孕妈妈进行免费中期产前筛查。
3. 无创DNA检查(NIPT)
无创DNA检查通过采集孕妇外周血提取胎儿游离DNA,采用高通量测序技术结合生物信息学分析,判断胎儿的染色体异常情况,妊娠12周起就可以进行该检测。该项技术对21三体的检出率达到99%以上。当然,费用相对较高点。
4. 介入性产前诊断
通过绒毛穿刺、羊膜腔穿刺、脐静脉穿刺采集绒毛、羊水或脐血细胞进行胎儿染色体核型分析和基因芯片检测,是目前胎儿染色体疾病诊断的金标准。通常做得较多的是羊水穿刺,最佳检测时间为孕18-22周。
最后再提醒准爸爸准妈妈们,有任何疑问请前往专业的医疗机构进行遗传咨询。
常德市妇幼保健院是全市的产前诊断中心,出生缺陷防控,我们一直在行动!
咨询热线:0736-7890221
医学遗传与产前诊断科集遗传咨询门诊与遗传实验室为一体,承担着全市新生儿疾病筛查中心、常德市产前诊断中心、常德市出生缺陷综合防治中心、常德市出生缺陷防治质量控制中心这4个中心的主要工作。科室拥有一支优秀的医学遗传专业团队,共有14人,其中高级职称3人,中级职称10人,硕士研究生2人,是一支具有跨学科、跨专业理论知识,工作严谨、技术过硬的专业人员队伍。
科室设有产前筛查与产前诊断门诊、遗传病专科门诊、新生儿疾病筛查门诊、遗传代谢病门诊,并进行介入性产前诊断。孕前对备孕夫妇进行优生评估及指导,有效避免父母自身疾病、感染、不良接触等可能影响胎儿的高危因素,通过孕前、产前筛查的方式降低出生缺陷率,开展羊膜腔穿刺术等介入性产前诊断技术有效降低遗传病相关出生缺陷率,进行新生儿疾病筛查及遗传代谢病的诊治。
科室秉承“精诚、仁爱、创新”的服务理念,以“预防出生缺陷,提高出生人口素质“为己任,持之以恒为您提供科学严谨、公正准确、优质高效的专业服务!
咨询电话:0736-7890221
· 专家简介 ·
王琼
副主任医师
副主任医师,医学遗传与产前诊断科主任,常德市妇幼保健院医学遗传与产前诊断科主任。 中国妇幼保健协会地中海贫血防治专业委员会委员,湖南省预防医学会第一届先天性心脏病防治专业委员会委员,湖南医师协会第二届临床遗传学医师分会委员。从事妇产科临床、遗传咨询、产前诊断十余年,擅长遗传优生咨询、产前筛查和产前诊断。
门诊时间:周一、周三全天
来源:医学遗传与产前诊断
撰稿:龚志峰
责编:谭旻 二审:龙霞 终审:周未艾
出品:常德市妇幼保健院 妇幼健康科普























