WB实验案例专讲:翻译后修饰、异构体、前体/多聚体如何影响蛋白条带

abcam

发布于:2025-06-19

摘要:掌握靶标自身特性,WB实验没烦恼

Western Blot是最为常见的蛋白检测方法,您在做WB实验时是否遇到过实际检测蛋白条带大小与预测值不符的情况?比如检测条带大于或小于预测分子量,条带弥散,或者多条条带等现象。


abcam发现引起条带问题的原因可能是靶标自身特性,本期内容将着重介绍蛋白翻译后修饰(糖基化、磷酸化、泛素化)、异构体、前体/多聚体等蛋白形式对WB检测蛋白条带的影响,举例查看真实检测结果,逐个击破条带问题困扰!

文末附赠快速查询这些靶标蛋白特性的方法总结!喜欢就点赞收藏转发吧!


01

蛋白翻译后修饰对WB检测的影响

蛋白翻译后修饰(Post-translational modifications,PTMs)是指蛋白质在翻译后的化学修饰。这些修饰包括糖基化、磷酸化、泛素化、甲基化、乙酰化等等,几乎影响正常细胞生物学和发病机制的所有方面。其中

1

糖基化是蛋白质翻译后的主要修饰之一,对蛋白质的折叠、构象、分布、稳定性和活性都有重要影响。蛋白质糖基化类型有三种:N-糖基化,O-糖基化和GPI糖基磷脂酰肌醇锚。以天冬氨酸连接(N-连接)或丝氨酸/苏氨酸连接(O-连接)寡糖形式存在的碳水化合物是许多细胞表面和分泌蛋白的主要结构成分。

2

磷酸化主要是在丝氨酸(Ser)、苏氨酸(Thr)或酪氨酸(Tyr)残基上加入磷酸根基团,是目前研究得最深入的翻译后修饰之一。磷酸化在细胞周期、生长、凋亡和信号转导等过程中起着重要的调控作用。

3

泛素化过程通常由泛素-蛋白酶体系统(ubiquitin-proteasomesystem,UPS)介导。当蛋白被泛素标记后,就会通过蛋白酶体途径降解。

若蛋白存在翻译后修饰,可能会引起WB检测时实际条带大小与预测值不符的情况比如

蛋白条带变大的CD31和多条条带的CD36:


向上滑动阅览更多

CD31翻译后修饰情况

CD31蛋白存在多个糖基化位点。

src激酶激活细胞后Ser和Tyr残基会发生磷酸化。

ZDHHC21介导的棕榈酰化是CD31在内皮细胞表面表达和膜筏富集所必需的。


CD31在WB中的注意事项

CD31在WB实验中可能会出现条带变大的现象(如图1),引起的原因可能是CD31蛋白存在翻译后修饰,所以实际检测到的人类异构体蛋白条带大小在130kDa附近,与理论值79-83kDa有所区别。

CD31存在表达特异性,在不同组织/细胞中的表达水平存在明显差异,建议使用阳性对照(例如:HUVEC(人脐静脉上皮细胞)全细胞裂解液)。

图1:WB- Anti-CD31 抗体 [RM1006] (👉ab281583)。

泳道1:20μg HUVEC细胞裂解液

泳道2:20μg bEnd.3 细胞裂解液

泳道3:20μg NIH/3T3细胞裂解液

泳道4:20μg 大鼠肺组织裂解液

一抗:使用Anti-CD31 抗体 [RM1006] (👉ab281583),浓度1/1000 稀释。

二抗:使用HRP标记山羊抗兔二抗(👉ab97051),浓度1/100000 稀释。

预测条带大小:82 kDa

检测条带大小:125 kDa


点击了解更多关于CD31在IHC中的注意事项

CD31主要表达在血管内皮细胞,建议检测一些含血管丰富的组织。

在内皮细胞边界之间会发生染色富集现象。

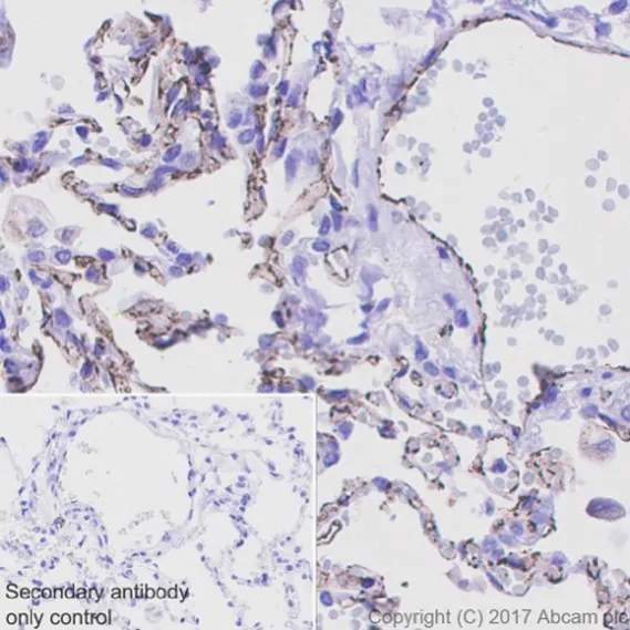
图2:IHC - Anti-CD31 抗体 [EPR17259] (👉ab182981)

样品名称:福尔马林/PFA固定的人肺组织石蜡切片

一抗:使用Anti-CD31 抗体 [EPR17259] (👉ab182981),浓度 1/2000 稀释。

二抗:使用HRP标记的山羊抗兔二抗。

抗原修复方法:使用Tris/EDTA pH 9.0抗原修复液进行热诱导抗原修复。

其它:人肺内皮细胞膜染色(PMID: 👉16234507),复染使用苏木精。



向上滑动阅览更多

CD36翻译后修饰情况

CD36蛋白可被多种翻译后修饰,例如糖基化、磷酸化、棕榈酰化、乙酰化和泛素化等,这些修饰调节CD36的稳定性、蛋白质折叠和易位。

CD36有10个潜在的糖基化位点。全糖基化CD36是一种约为88 kDa的跨膜糖蛋白受体。


CD36在WB中的注意事项

 CD36在WB实验中可能会出现多条条带现象(如图3),引起的原因可能是:

  1. CD36蛋白有多个可被翻译后修饰的位点。

  2. CD36在Lys469和Lys472处发生泛素化-包括多聚泛素化和单泛素化。通常情况,蛋白多聚泛素化通过将靶标蛋白导向蛋白酶体导致蛋白降解。CD36也可以通过自噬-溶酶体依赖途径降解。

  3. 用于CD36某些产物的免疫原可能与CD36/SCARB1和CD36/SCARB2具有很高的同源性。但抗体产品与这些蛋白的交叉反应性可能还没有被实验证实。

● CD36在正常的大脑组织表达水平可能比较低。建议设置阳性对照(比如:HepG2、3T3-L1和NIH 3T3全细胞裂解液,大鼠脾脏和脂肪组织裂解液)和阴性对照(例如:大鼠脑组织裂解液,Ramos和Jurkat全细胞裂解液)。

图3:WB-Anti-CD36 抗体 [EPR6573] (👉ab133625)。

一抗:使用Anti-CD36一抗,1/1000稀释。     

封闭:使用5% NFDM/TBST封闭液。

泳道1:THP-1全细胞裂解液;

泳道2:100ng/ml PMA处理THP-1细胞72小时;

泳道3:人脂肪裂解液;

泳道4:HepG2全细胞裂解液;

泳道5:3T3-L1全细胞裂解液;

泳道6:RAW 264.7全细胞裂解液;

泳道7:小鼠肝脏组织裂解液;

预测条带大小:53 kDa

检测条带大小:78 kDa



02

异构体对WB检测的影响

异构体(Isoform)指同一个基因由于启动子转录起始位点的不同,或者选择性剪接时产生了不同的mRNA,进而翻译成有差异的蛋白或多肽,将这些有差异的蛋白或多肽称为异构体。若靶标蛋白存在多个异构体,可能会引起WB检测时出现多条条带的情况。比如Fibroblast activation protein, alpha(FAP-alpha):

向上滑动阅览更多

FAP-alpha异构体及翻译后修饰情况

● 人(Q12884):异构体 1:88 kDa(预测)异构体 2:27 kDa(预测)

 小鼠(P97321):异构体 1-3:84~88 kDa(预测)

● FAP-alpha会发生多位点N-糖基化修饰。

 FAP-alpha可以被剪切掉23个氨基酸,形成可溶性形式的抗纤溶酶裂解酶(APCE)。


FAP-alpha在WB中的注意事项

● FAP-alpha 人中存在2种异构体形式,分子量大小差距较大(27~88kDa),在WB实验中可能检测到多条条带现象(如图4)。同时FAP-alpha存在多位点糖基化修饰,实际检测到的条带可能与预测大小不符,请不要裁膜或至少保留130kDa以下部分。

 还需注意的是,FAP-alpha通常不存在于正常组织中,而是选择性表达于重塑和需要修复的组织中,被认为是(肌)成纤维细胞激活的特殊标志物。请选择合适的实验样本,推荐使用阳性对照,例如HFF-1 (人表皮成纤维细胞系)全细胞裂解液,以确认实验体系没有问题(如图4)。

图4:WB-重组Anti-Fibroblast activation蛋白,alpha抗体[SP325] (👉ab227703)。

样本名称:HFF-1(人皮肤成纤维细胞)细胞裂解物。

泳道1:孵育Fibroblast activation protein抗体。

泳道2:孵育GAPDH抗体。

预测条带大小:88 kDa。

实际观测条带大小:95 kDa

 点击了解更多关于FAP-alpha在IHC中的注意事项

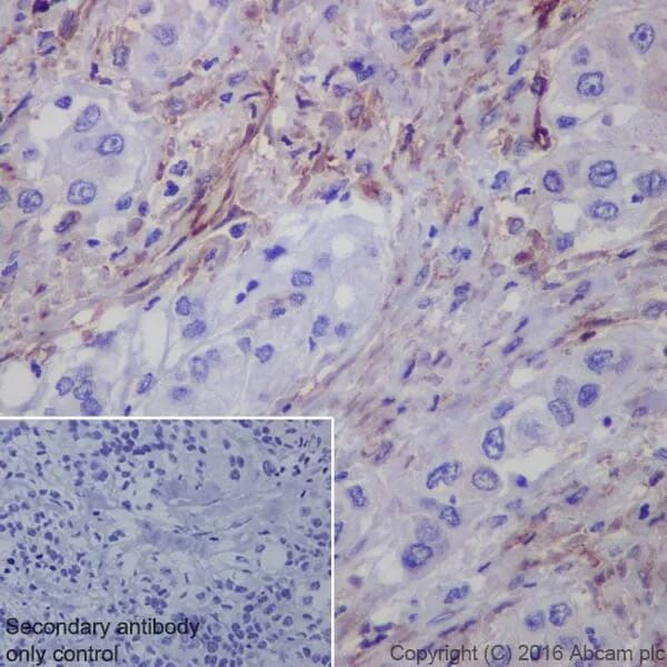
FAP-alpha几乎不表达于正常组织中,在部分肿瘤组织中高度表达(如图5)。不同组织中的表达不同,请选择合适的实验样本,推荐使用阳性对照(例如人胰腺癌组织),以确认实验体系没有问题。

在组织中的细胞外基质中,或基质的成纤维细胞表面可以观察到FAP-alpha的阳性染色。

图5:IHC-重组Anti-Fibroblast activation蛋白,alpha抗体[EPR20021] (👉ab207178)

样品名称:石蜡包埋的人胰腺癌组织。

抗原修复方法:使用pH 9.0 Tris/EDTA 缓冲液进行热介导抗原修复。

实验结果:观察到人胰腺癌基质细胞的细胞表面染色。




03

前体/多聚体对WB检测的影响

前体蛋白质 (preprotein)在蛋白酶的作用下形成成熟蛋白质 (mature protein),成熟的蛋白质多以单体形式存在,部分蛋白质也存在多聚体的形式,比如二聚体通常由两个单体组成,蛋白分子量也会比单体形式大一倍左右,多聚体以此类推。若靶标蛋白同时存在单体、二聚体或多聚体,以及前体等形式,可能会引起WB检测时出现多条条带的情况。比如BDNF:

向上滑动阅览更多

BDNF在WB中的注意事项

● 由于BDNF存在不同异构体和翻译后修饰,以及成熟、非成熟形式的BDNF,在WB实验中可能会出现多条条带。不同样本中BDNF蛋白的形式和含量可能存在区别,最终观察到的条带大小为15-45 kDa是合理的(如图6)。

~15 kDa可能是单体成熟形式(加工)的BDNF

~28 kDa可能是二聚体成熟形式(加工)的BDNF

~35 kDa,~45 kDa可能是不成熟形式(未加工/前体)的BDNF


图6:WB-Anti-BDNF antibody [EPR1292]  (👉ab108319)。

一抗:使用(👉ab108319),浓度1/1000。

泳道1:人脑组织裂解液   

泳道2:小鼠脑组织裂解液   

泳道3:大鼠脑组织裂解液

泳道4:人海马组织裂解液   

泳道5:大鼠海马组织裂解液   

泳道6:小鼠海马组织裂解液

泳道7:人小脑组织裂解液   

泳道8:小鼠小脑组织裂解液   

泳道9:大鼠小脑组织裂解液

预测条带大小:15 kDa

检测条带大小:15-45 kDa



04

如何快速查询靶标蛋白翻译后修饰、异构体等信息?

点击前往 Uniprot数据库

UniProt (Universal Protein)蛋白质数据库包含Swiss-Prot、 TrEMBL 和 PIR-PSD 三大数据库的数据,以及大量来自文献的蛋白质的生物功能的信息。我们可以在数据库中获取不同种属靶标蛋白的蛋白功能、蛋白表达、翻译后修饰、异构体、蛋白序列等等信息。


*特别提醒:abcam每个产品下方靶标一栏中,有直达不同种属靶标的UniProt(SwissProt)链接哦!(如图7)

图7:WB-Anti-BDNF antibody [EPR1292]  (👉ab108319)。


热门靶点实验贴士

实验贴士主要内容

涉及靶标背景、样本准备、实验操作等内容,在靶点介绍中即可找到异构体及翻译后修饰相关信息。同时,贴士还提供了最适合于各个靶点的阳性、阴性对照,以及刺激诱导条件等,帮助您获得更好的实验结果(如图8)。

图8:PD-L1靶点实验贴士。


扫描下方二维码即可获取CD36, CD31, BDNF, Fibroblast activation protein, alpha, PD-L1, p53, Tau, Occludin等热门靶点贴士,百余个热门靶点等你来探索!


上下滑动查看参考文献

1.Panida Lertkiatmongkol , Danying Liao, Heng Mei, Yu Hu, Peter J Newman. Endothelial functions of platelet/endothelial cell adhesion molecule-1 (CD31). Curr Opin Hematol. 2016 May;23(3):253-9. doi: 10.1097/MOH.0000000000000239.

2.Jason L.HornickMD, PhD. 1 - Introduction: Tumor Classification and Immunohistochemistry. Practical Soft Tissue Pathology: a Diagnostic Approach (Second Edition). 2019, Pages 1-7. doi: 10.1016/B978-0-323-49714-5.00001-6

3.Silverstein RL, Febbraio M. CD36, a scavenger receptor involved in immunity, metabolism, angiogenesis, and behavior. Sci Signal. 2009 May 26;2(72):re3. doi: 10.1126/scisignal.272re3.

4.Pepino MY, Kuda O, Samovski D, Abumrad NA. Structure-function of CD36 and importance of fatty acid signal transduction in fat metabolism. Annu Rev Nutr. 2014; 34:281-303. doi: 10.1146/annurev-nutr-071812-161220.

5.Choromańska B, Myśliwiec P, Choromańska K, Dadan J, Chabowski A. The role of CD36 receptor in the pathogenesis of atherosclerosis. Adv Clin Exp Med. 2017 Jul;26(4):717-722. doi: 10.17219/acem/62325.

6.Wang J, Li Y. CD36 tango in cancer: signaling pathways and functions. Theranostics. 2019 Jul 9;9(17):4893-4908. doi: 10.7150/thno.36037. eCollection 2019.

7.Thorne RF, Ralston KJ, de Bock CE, Mhaidat NM, Zhang XD, Boyd AW, Burns GF. Palmitoylation of CD36/FAT regulates the rate of its post-transcriptional processing in the endoplasmic reticulum. Biochim Biophys Acta. 2010 Nov;1803(11):1298-307. doi: 10.1016/j.bbamcr.2010.07.002.

8.Noushmehr H, D'Amico E, Farilla L, Hui HX, Wawrowsky KA, Mlynarski W, Doria A, Abumrad NA, Perfetti R. Fatty acid translocase (FAT/CD36) is localized on insulin-containing granules in human pancreatic beta-cells and mediates fatty acid effects on insulin secretion. Diabetes. 2005 Feb;54(2):472-81. doi: 10.2337/diabetes.54.2.472.

9.Tao N, Wagner SJ, Lublin DM.CD36 is palmitoylated on both N- and C-terminal cytoplasmic tails. J Biol Chem. 1996 Sep 13;271(37):22315-20. doi: 10.1074/jbc.271.37.22315.

10.Woo MK, Yang JW, Beltran C, Cho S. Cell Surface CD36 Protein in Monocyte/Macrophage Contributes to Phagocytosis during the Resolution Phase of Ischemic Stroke in Mice. J Biol Chem. 2016 Nov 4;291(45):23654-23661. doi: 10.1074/jbc.M116.750018.

11.L A Goldstein, W T Chen. Identification of an alternatively spliced seprase mRNA that encodes a novel intracellular isoform. J Biol Chem. 2000 Jan 28;275(4):2554-9. doi: 10.1074/jbc.275.4.2554.

12.Ellen Puré, Rachel Blomberg. Pro-tumorigenic roles of fibroblast activation protein in cancer: back to the basics. Oncogene. 2018 Aug;37(32):4343-4357. doi: 10.1038/s41388-018-0275-3.

13.Martin Nurmik, Pit Ullmann, Fabien Rodriguez, Serge Haan, Elisabeth Letellier. In search of definitions: Cancer-associated fibroblasts and their markers. Int J Cancer. 2020 Feb 15;146(4):895-905. doi: 10.1002/ijc.32193. Epub 2019 Feb 28.

14.Peifang Song, Quisha Pan, Zhaohui Sun, Liwei Zou, Ling Yang. Fibroblast activation protein alpha: Comprehensive detection methods for drug target and tumor marker. Chem Biol Interact. 2022 Feb 25;354:109830.doi: 10.1016/j.cbi.2022.109830. Epub 2022 Jan 31.

15.Michael F Egan, Masami Kojima, Joseph H Callicott, Terry E Goldberg, Bhaskar S Kolachana, Alessandro Bertolino, Eugene Zaitsev, Bert Gold, David Goldman, Michael Dean, Bai Lu, Daniel R Weinberger. The BDNF val66met polymorphism affects activity-dependent secretion of BDNF and human memory and hippocampal function. Cell. 2003 Jan 24;112(2):257-69. doi: 10.1016/s0092-8674(03)00035-7.

16.S J Mowla, H F Farhadi, S Pareek, J K Atwal, S J Morris, N G Seidah, R A Murphy. Biosynthesis and post-translational processing of the precursor to brain-derived neurotrophic factor. J Biol Chem. 2001 Apr 20;276(16):12660-6. doi: 10.1074/jbc.M008104200. Epub 2001 Jan 10.


新品查询


近期热门资料



点击这里搜索更多可下载手册


本文内容来源于公众号: abcam ,请扫码查看原文。

点此可查看原文