点击关注 Abcam 助您尽快实现研究使命
IHC
immunohistochemistry
abcam
免疫组化(immunohistochemistry,IHC)是利用抗原-抗体相互作用显示组织切片中抗原分布和定位的一种方法。IHC作为一种经典的病理学检测方法,应用非常广泛,常用于诊断癌症等疾病中的异常细胞和组织。
IHC的实验步骤较多,尤其是手动操作时的步骤显得更为繁琐,特别体现在样本制备阶段。所以常常会出现由于实验步骤中的操作不当,导致检测结果出现无信号/高背景、结果不可重复/重复性差、出现假阳性/假阴性结果等问题,从而无法获得理想的实验结果。
为此Abcam将介绍IHC中关键的实验步骤,为大家梳理包含样本制备阶段和免疫染色阶段在内的IHC实验操作全流程,以及在此过程中需要注意的实验关键点。
在这些操作步骤中,小编特别提醒大家要注意以下2个最容易导致实验失败的步骤:
01
在固定时,要根据实际情况选择合适的固定时间,过度固定可能会导致无信号现象
02
抗原修复时,需根据样本类型、切片类型选择合适的修复条件,同时,建议参考产品说明书进行最适条件的摸索
这两个实验步骤对于最后能够获得理想的IHC实验结果至关重要,下滑查看更多细节和注意点吧!
如果您是初次接触或刚开始学习IHC,您可以点击下方的视频来对最经典的石蜡切片免疫组化(IHC-P)的实验步骤有一个全面的了解。
图一 IHC-P实验全流程操作视频
► 想了解更多?
如果想要更详细的了解文字版IHC全流程介绍,欢迎大家点击标题文字展开相应内容
Chapter 1
样本制备阶段需要注意的
实验操作及关键控制点
01#
组织取样关键控制点
点击查看
为保证获得高质量的免疫染色结果,正确的组织取样是成功的第一步。在取样过程中需要特别注意以下几种因素:
影响因素 | 具体要求 |
组织类型 | 除待检组织外,还需分别设置阳性组织对照(检查IHC实验流程的有效性和排除假阴性)和阴性组织对照(检查是否存在非特异性结合和去除假阳性)。 |
组织离体状态 | • 避免机械损伤、化学损伤、热损伤(损伤有可能导致“假象“形成)。 • 避免组织风干(风干有可能导致“边缘染色模式”,图2)。 |
冷缺血时间 | • 建议组织取样后立即固定。 • 如涉及到的组织数量较多,建议分批取样再进行固定,冷缺血时间不宜超过1h(图3)。 |
组织信息 | 及时、准确地记录每一个组织的详细信息,包括临床信息、种属及组织类型、取样时间、冷缺血时间等。 |
组织预处理 | • 大体积组织在固定前可以进行适当切割,确保组织厚度小于0.5 cm。 • 含血的组织样本,固定前建议先使用生理盐水先进行清洗。 |
*冷缺血时间(cold ischemic time):组织离体后到进入固定液之间的时间。
图2 过度风干导致的“边缘染色模式“。(John D. Bancroft, et al. 2008 )
图3 不同冷缺血时间对Estrogen Receptor免疫组化染色的影响。(Isil Z Yildiz-Aktas, et al. 2012 )
左滑查看更多图片
重要的事情说三遍,固定!固定!固定!👇
02#
固定关键控制点
点击查看
固定组织样本可以防止离体组织发生自溶坏死,保留抗原性并提高组织成份的折射率。恰当的固定需要考虑下述几点因素:
影响因素 | 具体要求 |
固定液的选择 | 根据抗原类型选择最适的固定液,具体选择标准详见表1。 |
固定液pH | 使用醛类固定剂前请提前检查pH,建议优先选择10%中性福尔马林缓冲液。 |
固定液体积 | 确保充足的固定液体积,建议至少达到组织体积的10-20倍。 |
固定方法 | • 浸泡固定:小体积组织直接浸泡;大组织切割后再充分固定 • 灌注固定:固定溶液经由内循环系统灌注,则往往能获得更快速、更均匀的固定。 • 冷冻固定:检测磷酸化等翻译后修饰时,常使用冷冻固定。 |
固定时长 | 对于大多数样本,例如使用4%PFA固定,室温固定18-24小时较为合适。固定时间过长(超过两天),即使进行抗原修复也可能丢失信号(图4)。 |
表1 固定液的选择参考
图4 固定时间对cytokeratin 7免疫组化染色的影响。(Joshua D. Webster, et al. 2009)
1A:固定1天;1B:固定3天;1C:固定7天。
左滑查看更多图片
03#
包埋关键控制点
点击查看
固定后的组织需要经过梯度的脱水、透明,才能进行包埋处理。包埋使组织得到充分支撑,保证后续能够被切成厚度合适的切片。包埋步骤需要注意的因素包括:
影响因素 | 具体要求 |
包埋介质 | • IHC-P:选用优质的低熔点(45℃)石蜡(避免高温引起的组织损伤,提高免疫染色的强度) • IHC-Fr:OCT(免疫染色不会增加背景染色) |
包埋温度 | • IHC-P:温度不超过60℃。 • IHC-Fr:甲醇冰浴中冷冻。 |
包埋方向 | • 多数组织通常放置于模具中央,最大横径与蜡块最大横径保持一致即可。 • 对包埋方向有特殊要求的组织(图5): 1) 动脉、静脉、输卵管、输精管等管状组织 :横切面向下放置。 2) 皮肤、肠、胆囊和其他上皮组织:上皮层垂直于包埋面放置,组织切面向下。 3) 诊刮获得的子宫内膜等同一类型多个组织:中央放置。 4) 线性的长组织:对角线方向放置。 5) 肌肉活检组织:横向和纵向均需放置。 6) 羊膜等长膜状组织:制成卷状放置。 |
图5 不同类型组织包埋方向示意图。(Pranab Dey, 2018)
04#
切片关键控制点
点击查看
包埋好的组织可以进入下一步的切片环节。切片环节需要考虑的因素包括:
影响因素 | 具体要求 |
切片厚度 | • IHC-P:3~5 μm。 • IHC-Fr:5~10 μm。 |
切片温度 | • IHC-P:在切片前置于冰上冷却。 • IHC-Fr:大多数灌流固定冷冻的组织适合的切片温度在-7℃~-12℃。大多数液氮/异戊烷速冻的组织切片适合的温度在-15℃~-23℃,具体可参考表2。 |
切片储存 | • IHC-P:未完成免疫染色的石蜡切片建议使用parafilm/自封袋封存,暂时置于-20℃冰箱,建议切片完成后一周内完成后续染色分析。石蜡包埋的组织块和完成免疫染色的石蜡切片可室温保存。 • IHC-Fr:未完成免疫染色的冷冻切片可置于-80℃冰箱保存。OCT包埋的冷冻组织块建议装入塑料袋后再放入-20°C 冰箱。 |
表2 不同类型组织最适的冷冻切片温度。(John D. Bancroft, et al. 2008)
Chapter 2
免疫染色阶段需要注意的
实验操作及关键控制点
重要的事情说三遍,抗原修复!抗原修复!抗原修复!👇
05#
抗原修复关键控制点
点击查看
使用醛类固定的组织在免疫染色前需要进行抗原修复步骤,破坏将蛋白交联起来的亚甲基桥,暴露出抗原位点,使抗体能够与之结合。抗原修复的方法包括热诱导抗原修复和酶诱导抗原修复(表3)。
表3 抗原修复方法的比较
修复方法的选择和优化需要综合思考以下因素:
影响因素 | 具体要求 |
抗原类型 | 有的抗原适合酶诱导修复,有的抗原适合热诱导修复,建议参考抗体产品说明书中的抗原修复方法,或通过实验来确定适宜的修复条件,以便于获得理想的染色。 |
组织类型 | 对于质地比较脆,在高温高压修复过程中易脱片的组织(如骨,软骨);或组织本身切面比较小,如坐骨神经,可以选择微波修复。 |
固定方法 | • 对多数醛类固定(18-24小时)的石蜡切片,建议在开始染色前先进行抗原修复。对醛类固定(18-24小时)的冰冻切片,可以尝试使用酶进行抗原修复。 • 冷冻切片通常不够坚固,进行抗原修复时会损坏切片。一般会避免用醛类固定剂固定冷冻切片(或在使用时大大减少暴露时间),从而省去/减少抗原修复步骤的需求。 |
06#
通透关键控制点
点击查看
当抗体需要进入细胞内部以检测靶抗原时,需要对其进行透化处理。这类抗原包括细胞内蛋白和跨膜蛋白的胞质表位。通透剂的选择可以参考表4。
表4 通透剂的选择参考
07#
封闭关键控制点
点击查看
IHC实验通常包含一个或多个封闭步骤,以降低背景信号并减少假阳性。常见的封闭类型及注意事项如下:
影响因素 | 具体要求 |
蛋白封闭 | 推荐使用与二抗种属相匹配的血清。例如二抗为Goat Anti-Rabbit IgG H&L (HRP polymer) 或Goat Anti-Mouse IgG H&L (HRP polymer),封闭液可选山羊血清。 |
生物素封闭 | 生物素的封闭通过用抗生物素蛋白预孵育组织的方式进行,然后预孵育的组织与生物素一起孵育以封闭抗生物素蛋白分子上的其它生物素结合位点。 |
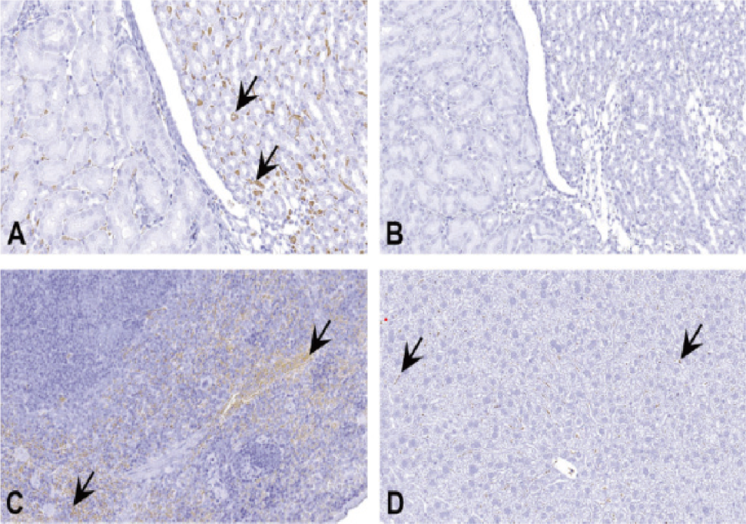
内源酶封闭 | • 过氧化物酶封闭:使用HRP偶联抗体对肾脏、肝脏等组织中靶标抗原检测时,通常需要封闭内源过氧化物酶,以减少非特异性染色(图6)。通常在 0.3% 过氧化氢中孵育即可实现封闭。 • 碱性磷酸酶封闭:使用AP偶联抗体对肾脏、肠道等组织中的靶标抗原检测时,通常需要封闭内源碱性磷酸酶,以减少非特异性染色(图7)。通常在左旋咪唑中孵育即可实现封闭。 |
自发荧光封闭 | • 如使用荧光基团偶联的二抗进行实验,推荐封闭液中添加1%的BSA和终浓度为0.3M 甘氨酸的封闭液,以淬灭醛基引起的自发荧光。 • 为了减少自发荧光,可以使用非醛类固定剂,如 Carnoy 溶液,或者通过用硼氢化钠或甘氨酸/赖氨酸处理的方式来阻断醛基。 • 也可尝试使用冷冻组织切片,或用淬灭染料(如脑桥胺天蓝色、苏丹黑、台盼蓝或 FITC 封闭液)处理组织。 |
图6 封闭过氧化物酶对减少非特异性染色的影响。(Kyathanahalli S. Janardhan, et al. 2018)
A.肾脏切片未封闭过氧化氢酶
B.肾脏切片封闭过氧化氢酶
C.脾脏切片未封闭过氧化氢酶
D.肝脏切片未封闭过氧化氢酶
图7 封闭碱性磷酸酶对减少非特异性染色的影响。(Amanda F Marsch, et al. 2015)
A.封闭碱性磷酸酶
B.未封闭碱性磷酸酶。
左滑查看更多图片
08#
一抗选择和孵育关键控制点
点击查看
IHC 实验的关键在于一抗的选择,因为免疫染色的成功需要借助与靶抗原特异性结合的一抗。一抗的选择和孵育条件需要注意下述几点:
影响因素 | 具体要求 |
一抗选择 | • 抗体特异性:在目的蛋白已被敲除的组织或细胞中缺乏染色。 • IHC中既往使用:优先考虑能够有效应用于 IHC 的抗体。 • 克隆性:抗体克隆性取决于抗体来自不同的 B 细胞(产生多克隆抗体)还是来自同一亲代克隆的相同 B 细胞(产生单克隆抗体)。 |
一抗浓度 | 请根据抗体说明书选择合适的抗体工作浓度。如果不清楚给定的未纯化抗体样品的浓度,我们建议按下述操作:大多数 IHC-P用抗体的使用浓度在 0.5-10 μg/ml 之间。 |
孵育条件 | • 4°C过夜孵育可以使低亲和力的抗体有较长的时间结合到抗原上。 • 建议在湿盒中进行抗体孵育,防止发生干片现象。 |
09#
二抗选择和孵育关键控制点
点击查看
对于间接检测,二抗是成功显示一抗分布的关键。二抗可以是酶标记的抗体(过氧化物酶、碱性磷酸酶)、荧光素标记的抗体 (FITC、R-PE、Alexa-Fluor®) 或生物素标记的抗体。二抗的选择和孵育条件需要注意下述几点:
影响因素 | 具体要求 |
二抗选择 | • 标准HRP二抗:建议使用含 TBS 的 1% BSA作为缓冲液,因为 TBS 的背景比 PBS 更干净。 • 预吸附处理二抗:预吸附处理可以减少非特异背景。 • F(ab’)2 片段化二抗:推荐使用 F(ab’)2 片段化二抗染色富含 Fc 受体的组织(如脾脏、胸腺、血液)。 • HRP-聚合物二抗:具备更好的组织穿透性和灵敏度。 |
二抗物种 | 二抗应来源于抗一抗的物种。举例来说,如果一抗来源于鼠,那么二抗就应该选择抗鼠的。建议仔细核对二抗产品说明书以确定要使用的二抗。 |
二抗浓度 | 二抗的稀释倍数位于产品说明书中,您也可通过预实验进行梯度稀释来确定最适宜的稀释倍数。建议您根据实验结果对稀释倍数进行适当优化。 |
孵育条件 | • 建议在暗盒中进行荧光基团偶联的二抗孵育,避免光淬灭现象发生。 • 如果实验允许,建议同时进行只加二抗不加一抗的对照实验。 |
看完以上IHC关键控制点解析,
您是不是觉得意犹未尽,
想要了解更多相关内容🧐?
为了帮助大家更好地掌握IHC实验技巧,Abcam推出了升级版本的IHC免疫组化实验手册,除了本文涉及的内容,还归纳整理了包含IHC实验常见问题的疑难解答、IHC热门靶点的实验关键点总结、结果示例等在内的诸多实用内容,欢迎大家点击左侧图片或扫描二维码进行查看和下载!
你以为到这里就结束了嘛?No, No, No~悄悄告诉你, Abcam还会推出免疫组化升级教程-玩转IHC下篇哦!我们会从IHC实验中最为常见的无信号、高背景、非特异性染色等问题出发,结合热门研究靶标和实验流程关键控制点,带领大家逐步理清上述问题产生的根本原因,提供切实可行的优化方案。精彩内容不容错过,敬请期待😎!
上下滑动查看参考文献
1) William E. Grizzle, Cecil R. Stockard, Paul E. Billings. the effects of tissue processing variables other than fixation on histochemical. staining and immunohistochemical detection of antigens. The Journal of Histotechnology. 2001, 24:213-219.
2) Amanda F Marsch, Jonathan N Truong, Melissa M McPherson et al. A dermatopathologist's guide to troubleshooting immunohistochemistry--part 2: troubleshooting immunohistochemical tests in the laboratory. American Journal of Dermatopathology. 2015,37(9):665-676.
3) John D. Bancroft, Marilyn Gamble et al. Theory and practice of histological techniques (sixth edition), Churchill Livingstone, 2008.
4) Carolyn C Compton, James A Robb, Matthew W Anderson et al. Preanalytics and precision pathology: Pathology practices to ensure molecular integrity of cancer patient biospecimens for precision medicine. Archives of Pathology and Laboratory Medicine. 2019 ,143(11):1346-1363.
5) Isil Z Yildiz-Aktas, David J Dabbs, Rohit Bhargava. The effect of cold ischemic time on the immunohistochemical evaluation of estrogen receptor, progesterone receptor, and HER2 expression in invasive breast carcinoma. Modern Pathology. 2012, 25(8):1098-1105.
6) Kimberly H Allison, M Elizabeth H Hammond, Mitchell Dowsett et al. Estrogen and Progesterone Receptor testing in breast cancer: ASCO/CAP guideline update. Journal of Clinical Oncology. 2020, 38 (12):1346-1366.
7) P Pizzolato. Formalin pigment (acid hematin) and related pigments. American Journal of Medical Technology. 1976 , 42(11):436-440.
8) Joshua D Webster, Margaret A Miller, Dee Dusold et al. Effects of prolonged formalin fixation on diagnostic immunohistochemistry in domestic animals. Journal of Histochemistry and Cytochemistry. 2009 , 57(8):753-761.
9) Pranab Dey. Basic and advanced laboratory techniques in histopathology and cytology. Springer, 2018.
10) B Paige Bass, Kelly B Engel, Sarah R Greytak et al. A review of preanalytical factors affecting molecular, protein, and morphological analysis of formalin-fixed, paraffin-embedded (FFPE) tissue: how well do you know your FFPE specimen? Arch Pathol Lab Med. 2014.138(11):1520-30.
11) Kyathanahalli S Janardhan, Heather Jensen, Natasha P Clayton et al. Immunohistochemistry in investigative and toxicologic pathology. Toxicologic Pathology. 2018, 46(5):488-510.
Michael J Kluk, Bjoern Chapuy, Papiya Sinha et al. Immunohistochemical detection of MYC-driven diffuse large B-cell lymphomas. PLoS One. 2012;7(4):e33813.
近期热门资料
点击这里搜索更多可下载手册
微课程报名























