做实验时常常会怀疑人生:明明已经按照实验室祖传标准流程一步步操作,但仍不是每一次都能够得到理想的结果!难道实验室传承多年的protocol也有bug?
太过相信标准流程,说不定就忽视了实验中“亿些”可以优化的要点!
那么如何避免一条protocol走到黑?
Abcam打造全新内容板块,一期一篇专题内容,重点讲解热门应用WB, IHC在实际操作过程中如何避免 “刻板印象” ,让我们一起学习如何科学的根据靶标特性优化实验流程吧!
本期内容将重点讲解WB实验中,如何针对容易降解的靶标蛋白进行实验条件的优化!
//话不多说,直接展示Abcam内部实验室结果!谣言终结者,有图有真相!
通常情况下,WB无信号的原因是复杂的,需要仔细对比实验流程中的每一个步骤,才有可能找到问题的关键。其中,蛋白是否被成功的提取和保存,是一个需要重点考虑的因素。
在细胞破裂蛋白抽提的过程中,蛋白酶也会被一起释放出来,混入蛋白样品中的蛋白酶会作用于样本中的靶标蛋白,导致原本已经提取出来的蛋白被降解掉,最终检测时可能会出现目的条带会变弱的情况,严重时还会无信号。
通常情况下,建议样本制备过程全程置于冰上或4℃环境下,同时在裂解液中添加蛋白酶抑制剂(现用现配)以防止蛋白降解。同时,不同细胞一般会含有多种不同种类的蛋白酶,为了更好的抑制蛋白降解,建议选择复合蛋白酶抑制剂。以下为部分复合蛋白酶抑制剂的名称、关键信息、抑制剂组成及靶向蛋白酶的详细信息:
▾ 点击查看完整内容
然而,有时也会发现,就算已经按照上述要求做了,并且将样本分装好保存在-20℃冰箱内,可再次使用时也还是会检测不到目的条带,这是为什么呢?
这种通用protocol无法解决的情况,则需要考虑是否是靶标特性引起的。
以下3个例子,教你如何快速识别靶标蛋白特性,get样本处理新技能,解决因降解导致的WB无信号烦恼!
1.特别容易降解,必须使用新鲜制备的裂解液才能够检测到靶标蛋白,例如eNOS。
eNOS是一个特别典型的,需要现用现制备裂解液的靶标蛋白,主要是因为eNOS蛋白在裂解液中储存时极易发生降解。所以,为了避免蛋白降解后导致检测信号减弱,请使用新鲜制备的全细胞裂解液,并立即用于WB检测。
eNOS蛋白预测大小为133 kDa,同时存在约60 kDa的剪切体形式,在WB检测时可能会观察到多条条带现象。对于分子量大于100 kDa的蛋白,建议选择适用于大分子量蛋白检测的实验条件,例如,在WB实验中使用较低浓度的分离胶(如6~8%)进行电泳;转膜时,建议使用0.45μm的PVDF膜,转膜缓冲液中的甲醇含量可选择10%或更低浓度,同时加入SDS至终浓度为0.1%。
刺激诱导对于部分细胞系中eNOS及其磷酸化蛋白的检测是必要的。例如:部分细胞系在经过药物刺激处理之后更易检测到eNOS蛋白(eg:10 µg/ml LPS刺激处理HepG2细胞2小时);部分细胞系在经过药物刺激处理之后更易检测到eNOS(phospho S1177)蛋白(eg:pervanadate或VEGF刺激处理的HUVEC细胞;PMA刺激处理的THP1细胞);在检测磷酸化eNOS蛋白时,可设置phosphatase去磷酸化的处理组,以判别磷酸化信号特异性。
2.泛素化修饰程度高,需要在细胞培养时加入特殊抑制剂才能阻止降解的靶标蛋白,例如Nrf2。
在正常情况下,Nrf2会被泛素化修饰并在细胞质中降解导致在WB中难以检测。MG132是一种蛋白酶体抑制剂,在细胞中加入MG132能有效抑制该降解过程,增加Nrf2的检测信号,例如:2 µM MG-132处理18小时的Hela或HepG2,25 µM MG-132处理4小时的HCT 116,建议查阅文献或产品说明书选择最合适的处理条件。
氧化应激反应,亲电试剂,化学激活剂和自噬会导致NFE2L2/NRF2在细胞核内聚集,例如:30 µM tBHQ处理4小时的MDA-MB-231,所以适当的样本刺激处理对于WB实验的成功至关重要。
Nrf2预测分子量68 kDa,但由于存在异构体及翻译后修饰,WB实验中可能观察到多条条带的情况,同时,实际检测到的分子量大于100 kDa,与预测分子量存在区别,建议不要裁膜。建议选择适用于大分子量蛋白检测的实验条件,例如,在WB实验中使用较低浓度的分离胶(如6~8%)进行电泳;转膜时,建议使用0.45μm的PVDF膜,转膜缓冲液中的甲醇含量可选择10%或更低浓度,同时加入SDS至终浓度为0.1%。
3.对温度、酸碱度特别敏感的靶标蛋白,例如Collagen。
Collagen蛋白家族由 28 个成员组成(I-XXVIII),最常见形式为I型、II型、III型、IV型和V型。👉🏻点击此处,查看更多关于Collagen蛋白家族的介绍。
小编以Collagen I、Collagen III为例,介绍WB操作中需要特别注意的实验关键点:
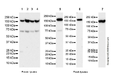
在检测时Collagen I可能会观察到多条条带现象,如图3中220 kDa 的collagen I 前体蛋白,60-75 kDa 的剪切片段,35 kDa 的C-前肽剪切体,请注意在检测不同类型样本或使用不同抗体时,这些观察到的条带可能会存在区别。Collagen I 存在表达特异性,在心脏、肾脏、肺组织中的检测信号相对较弱(如图4),若不确定样本中靶标蛋白的表达水平,建议选择皮肤组织作为阳性对照。同时,可通过优化实验条件,例如提高抗体使用浓度、增加上样量、延长曝光时间等方法增强检测信号。Collagen I本身在样本中存在很多的剪切位点,所以如果样本处理不当,很容易发生降解或是剪切,因此建议使用新鲜培养收集的细胞制备样本,同时提高裂解液中蛋白酶抑制剂的浓度,最大程度避免蛋白发生降解。由于一些抗体产品(例如👉🏻ab260043)的免疫原为重组片段,同时包含糖基化修饰位点,因此可能会存在多条条带现象。以及一些其他实验条件优化:电泳时向样品中加入洗涤剂、还原剂和离液剂。Collagen I可使用 6% 的丙烯酰胺凝胶。向样品中添加4M尿素可改善电泳过程中胶原蛋白的分离。推荐使用天然蛋白质标准品作为阳性和阴性对照。
Collagen III作为一种胞外基质蛋白,通常是一些中空器官,例如血管、子宫、肠道的主要构成部分,赋予组织能够承受一定程度的拉伸。WB检测时若不确定样本中靶标蛋白的表达水平,建议选择皮肤组织作为阳性对照(图5)。同时,可通过优化实验条件,例如增加蛋白上样量、使用新鲜制备的裂解液、提高抗体使用浓度、延长曝光时间(图6)等方法增强检测信号。同样类型的样本,例如正常的皮肤、成纤维细胞,胎儿时期Collagen III的含量和比例会高于成人时期(PMID: 19685484,29316315),因此选择发育早期或幼龄阶段的样本通常更容易检测到Collagen III。如果涉及病理样本中Collagen III的检测,需要注意Collagen III的表达会在伤口形成早期、慢性炎症阶段上调,随着伤口愈合、胞外基质重建完成逐渐降低(PMID: 36776717),不同病理阶段的样本中Collagen III的表达情况可能存在差异。
由于胶原蛋白比其他蛋白质更不稳定,检测应在 4℃/冰上进行。同时,为防止胶原蛋白聚集,请注意实验试剂pH值、温度以及胶原蛋白浓度。胶原蛋白易溶于酸性溶液,所以酸性环境(例如,0.5M 醋酸,在 pH 2.5 下保持 24 小时)对胶原蛋白稳定性及可溶性非常重要。在碱性 pH 下,胶原蛋白会聚合形成凝胶。如果所用的胶原蛋白浓度太高,也会导致凝胶的形成。
你在样本保存中有过哪些困扰
欢迎在文章下方留言分享
Abcam将选出留言点赞最高的幸运用户
送出小羊玩偶1个
*留言点赞时间截至2024年5月15日 12:00
近期热门资料
点击这里搜索更多可下载手册
微课程报名























