近日,由亚洲超声医学及生物学联合会主办的“第17届亚洲超声医学与生物学联合会(AFSUMB2026)” 在越南岘港盛大召开。作为亚太地区超声医学领域最具影响力的学术盛会之一,本次活动汇聚了全球顶尖专家学者,共同探讨超声技术的前沿进展与临床应用。
此次大会,迈瑞携超声Resona A20系列、Resona I9系列和Nuewa R9系列等前沿医学影像产品解决方案亮相,获得了与会专家们的一致关注。
迈瑞展台
这也是迈瑞Resona A20系列超声在越南市场首次露面。
Resona A20在越南的首次揭幕
自2023年中国区首发以来,Resona A20在全球均取得优异的成绩。在亚太地区,产品已凭借优秀的图像性能和独特的自主创新技术,进驻泰国东北部顶尖医疗中心孔敬大学医院、香港百年医院广华医院、澳门协和医院等头部医疗机构。越南超声协会主席Nguyen Phuoc Bao Quan教授指出:“A20的价值已经超出了设备本身,我们能看到它背后的技术给不同年资的医生带来的全新可能性。”
越南超声协会主席现场使用Resona A20
长期以来,超声新技术的价值也受到各国专家的重视。大会期间,欧超联主席Vito Cantisani教授、泰国超声协会主席Natthaporn Tanpowpong教授和上海新华医院董怡教授,围绕Resona A20的显微造影、多参数超声等技术在临床中的应用和研究成果进行了精彩的学术分享。
中外超声专家在大会上进行学术分享
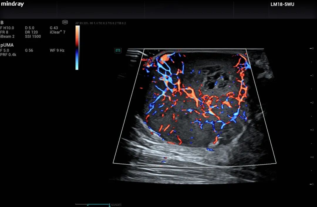
面对不同国家在临床方面的法规差异,迈瑞Resona A20系列超声以超声新技术完成了对部分需求的替代。以泰国为例,由于医疗法规限制,部分场景下不允许使用超声造影剂。针对这一现实挑战,迈瑞Resona A20搭载的UMA超微血管成像技术,能够在无需造影剂的情况下,清晰显示微米级血管形态和低速血流,为临床诊断提供了全新视角。
Resona A20的UMA超声图像
一位泰国超声专家在体验后评价道:“在不可使用造影剂的条件下,迈瑞的UMA技术提供了如同‘无造影剂的造影成像功能’,让我们看清了微米级血管形态。”
未来,迈瑞也将持续携手更多顶尖医疗专家,普及高端医疗科技,与更多医者同行,共同成为守护人类健康的核心力量。























