血液透析5年后常发全身骨痛,应警惕这个透析并发症……

医脉通肾内频道
发布于:2024-05-01
文章内容来源于公众号:医脉通肾内频道,点此可查看原文,内容版权归相关企业所有,本网站仅供交流学习。若涉及版权问题或存在侵权情况,请及时与我们联系,我们将第一时间进行删除处理。
摘要:在医学领域,透析是一种为肾脏功能衰竭患者提供支持的疗法,通过人工方式清除血液中的废物和多余水分,以维持身体的
在医学领域,透析是一种为肾脏功能衰竭患者提供支持的疗法,通过人工方式清除血液中的废物和多余水分,以维持身体的正常代谢。然而,长期透析的患者可能会面临多种并发症,其中透析相关淀粉样变(Dialysis-Related Amyloidosis,简称DRA)是一种尤为严重且常被忽视的并发症,主要表现为关节及关节周围组织淀粉样物质沉积,导致骨和关节的致残性病变,临床表现为腕管综合征、囊性骨损害与病理性骨折、骨关节病、破坏性关节病。
透析相关淀粉样变是长期透析患者的常见并发症,其发生率随着患者年龄和透析时间的增长而增加。该病变的主要特征是β2微球蛋白(β2-MG)在体内的异常沉积。β2-微球蛋白(β2-MG)因产生增多、清除减少而在体内蓄积增高,进而沉着于关节、骨骼、内脏引起,常致腕管综合征、关节囊肿、软组织囊肿、病理性骨折,常致心脏肥厚、血管收舒性异常,外周血管阻力下降,引起心力衰竭、透析性低血压,严重影响透析患者的生活质量和预后。
这些积累的β2-MG会在骨关节周围组织、消化道、心脏等多个部位沉积,进而引发关节和关节周围组织的病变,以及器官的损害。患者可能因此出现腕管综合征、淀粉样骨关节病、破坏性脊柱关节病、囊性骨损害等一系列严重并发症,其中全身骨痛是常见的临床表现之一。透析相关淀粉样变,长期透析患者全身骨痛的重要警示,透析龄>5年者发病率显著增高,透析龄>10年发生率几乎为100%。(1)系统性淀粉样变:患者血清免疫球蛋白正常水平,免疫电泳阴性,未见单克隆条带,不支持系统性淀粉样变诊断。
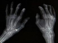
(2)类风湿性关节炎:患者有双手关节畸形,但RF和抗CCP抗体均阴性,不符合该诊断。
(3)恶性肿瘤:患者有多处肿块且疼痛明显,恶性肿瘤需予以鉴别,包括淋巴瘤、多发性骨髓瘤等,但本患者检验未见肿瘤标志物升高,免疫固定电泳未见单克隆,且既往曾多次臀部及肩部有类似肿块切除后病理均提示淀粉样变,故不考虑该诊断。
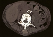
全身骨痛是透析相关淀粉样变患者常见的症状之一,其疼痛程度和持续时间因个体差异而异。这种疼痛可能源于β2-MG在骨骼中的沉积,导致骨骼结构的改变和功能的受损。此外,长期的透析治疗也可能导致电解质代谢紊乱、钙磷代谢失调等问题,进一步加剧骨骼疼痛。腕管综合征多为DRA的早期临床表现,主要由β2-MG淀粉样物质沉积于腕管内的腱鞘、滑膜、屈肌腱或屈肌韧带,造成腕管腔相对狭小、腕管压力增高,正中神经受压所致。临床表现为患肢桡侧半手指麻木或刺痛,夜间明显,活动后可减轻;病情严重者大鱼际肌萎缩和功能障碍;屈腕试验,神经叩击试验,或指压试验可阳性。囊性骨损害是DRA最常见的临床骨损害,常发生在腕骨、肱骨头、股骨颈、髋臼、胫骨平台等。囊肿数量和大小随透析龄的延长而增加。囊性骨损害为多发性、对称性软骨下溶骨性改变。淀粉样骨关节病绝大多数发生于滑膜关节附近,并常累及邻近关节囊和韧带,肩关节是最常见的受累部位。破坏性脊柱关节病变主要累及颈椎,是DRA的一种致残性并发症,常为多发性、发展迅速的椎间隙变窄,伴有邻近椎板受侵蚀致骨质破坏。对于出现全身骨痛的患者,医生应高度警惕透析相关淀粉样变的可能性。除了详细的病史询问和体格检查外,还需要进行相关的实验室检查,如血清β2-MG水平的测定,以及影像学检查,如X线、CT或MRI等,以明确是否存在骨骼的病变。
针对透析相关淀粉样变导致的全身骨痛,治疗策略主要包括控制β2-MG的沉积、纠正电解质代谢紊乱、改善骨骼健康等方面。预防和改善DRA的措施包括:①充分透析,每周透析时间10~12小时以上;②高通量透析或透析联合血液滤过、血液灌流较常规血液透析可有效地清除β2-MG;③使用生物相容性高的高分子合成膜,以减少β2-MG的产生;④加强透析用水的质量管理,使用超纯水可减少β2-MG产生;⑤预防和及时控制各种感染;⑥对原发病如肿瘤、病理性肝炎、骨髓瘤、结核进行积极有效的治疗。
临床上加强对维持性血液透析患者DRA的重视。血清β2-MG及其清除率的动态监测,临床症状的观察、及时的B超、CT及MRI检查是十分必要的。
对于长期透析的患者来说,自我管理能力的提升对于疾病的控制和生活质量的改善具有重要意义。患者应积极配合医生的治疗方案,按时进行透析治疗,并遵医嘱调整饮食结构和药物使用。此外,心理支持同样不可忽视。面对长期的透析治疗和可能出现的并发症,患者往往承受着巨大的心理压力。因此,患者应积极寻求心理支持,与家人、朋友或专业心理咨询师保持沟通,共同应对生活中的挑战。
1. 董建华, 葛永纯. 透析相关性淀粉样变. 肾脏病与透析肾移植杂志. 2020;29(01):77-82.
2. Stoppini M, Bellotti V. Systemic amyloidosis: lessons from β2-microglobulin. J Biol Chem. 2015;290(16):9951-8.
3. Jakhria T, Hellewell AL, Porter MY, Jackson MP, Tipping KW, Xue WF, et al. β2-microglobulin amyloid fibrils are nanoparticles that disrupt lysosomal membrane protein trafficking and inhibit protein degradation by lysosomes. J Biol Chem. 2014;289(52):35781-94.
4. Pazianas M, Miller PD. Osteoporosis and Chronic Kidney Disease-Mineral and Bone Disorder (CKD-MBD): Back to Basics. Am J Kidney Dis. 2021;78(4):582-9.